These are the signs that he is cr…See more

These are the signs that he is cr…See more Sleeping with the wrong person can lead to emotional turmoil that lingers long after the physical encounter is…

A Valentine’s Dinner That Revealed Everything: When a Test Destroyed Seven Years Together

Sometimes the most revealing moments in a relationship arrive disguised as ordinary situations. For one woman, what should have been the most romantic evening of her life…

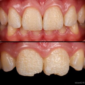
The Alarming Reality Exposed: When You Regularly Consume Certain Everyday Foods and Beverages Such as Fresh Citrus Fruits, Tangy Sodas, and Even Healthy Fruit Juices, Your Once Perfect Teeth Can Quickly Transform into a Damaged State with Visible Cracked and Web-Like Enamel Surfaces Exactly Like the Disturbing Before and After Images Shown Here, Revealing How Simple Dietary Choices Lead to Painful Sensitivity, Ugly Appearance, and Costly Dental Repairs

As you gaze at the striking dental photographs accompanying this article, you are witnessing the silent devastation that certain everyday foods can inflict on your teeth in…

Why Many Men Prefer Short Women: Understanding the Complex Mix of Psychological, Cultural, Evolutionary, Social, and Personal Factors That Influence Attraction, Exploring How Height Preferences Can Be Shaped by Deep-Rooted Instincts, Individual Experiences, Societal Expectations, Media Representation, Personality Dynamics, Relationship Goals, Confidence, and Interpersonal Chemistry, While Shedding Light on the Nuances of Human Desire, Compatibility, and Perception, Revealing That Preferences Are Often Multifaceted and Context-Dependent, and Offering Insight Into How These Patterns Affect Dating Behavior, Emotional Connection, and Long-Term Partnership Choices

A new study published in Frontiers in Psychologyexplores the role of height in romantic attraction across different cultures. The research indicates that height plays a meaningful role in…

If You See Someone With Swollen Veins, Here Is What Their Body May Be Signaling, Why It Happens More Often Than People Realize, When It Is Harmless, When It Is Not, and What Should Never Be Ignored for Long Term Health

If Your Veins Are Clearly Visible, It Means Your Body Is Responding to Circulation, Skin, Lifestyle, and Metabolic Signals That Reveal Far More About Your Health Than…

A FIERY CROSS-BORDER SHOWDOWN OF SOVEREIGNTY AND POWER: HOW MEXICAN PRESIDENT CLAUDIA SHEINBAUM’S DECLARATION THAT DONALD TRUMP WILL NEVER SEND U.S. TROOPS INTO MEXICO TO FIGHT CARTELS SETS THE STAGE FOR A DEFINING GEOPOLITICAL CLASH OVER NATIONAL AUTONOMY, SECURITY STRATEGY, HISTORICAL RESENTMENT, REGIONAL STABILITY, AND THE FUTURE OF U.S.–MEXICO RELATIONS IN AN ERA OF RISING TENSIONS AND COMPETING VISIONS OF HOW TO CONFRONT ORGANIZED CRIME

Mexican President Claudia Sheinbaum stated that Trump will never have U.S. troops (or the U.S. Army/military forces) enter or operate on Mexican territory to fight drug cartels….

Prepare Your Baking Soda Cream Before Going to Sleep as a Gentle, Short-Term Skin-Care Experiment That May Help Smooth Texture, Reduce Excess Oil, and Refresh Dull Skin When Used Carefully, Realistically, and Without Expecting Miracles or Permanent Anti-Aging Results

One ingredient that frequently appears in home skincare discussions is baking soda. Its reputation is often exaggerated online, sometimes framed as a miracle cure that can erase…

Why You Might Find a Rubber Band on Your Mailbox and What It Really Means in Everyday Situations That Most Homeowners Overlook Until They Notice Something Unusual Attached to Their Property Without Any Clear Explanation or Immediate Reason

Finding a rubber band on your mailbox might seem like a small, insignificant detail at first, but in reality, it’s the kind of thing that can quickly…

5 Simple Natural Home Remedies to Help Prevent Cavities and Support Healthy Teeth, and Why Small Daily Habits Often Matter More Than Expensive Products When It Comes to Protecting Your Smile for the Long Term

Cavities do not usually appear overnight. They develop quietly, gradually, through a process that often goes unnoticed until sensitivity, pain, or damage has already set in. At…

The Meaning Behind Purple Porch Lights and Why More Homes Across Neighborhoods Are Glowing Purple as a Powerful Symbol of Awareness, Compassion, and Silent Support for Survivors of Domestic Violence, Mental Health Challenges, and Other Causes That Often Remain Hidden Behind Closed Doors

If you’ve ever taken an evening walk through a quiet neighborhood or driven slowly past rows of homes at dusk, you may have noticed something that feels…